case

Full Mouth Rehabilitation

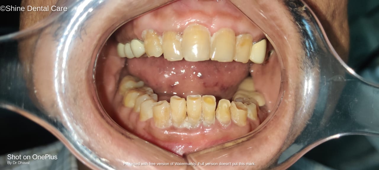
As the name implies, Full Mouth Rehabilitation refers to rebuilding and/or replacing all of the teeth ina patient’s mouth. Full Mouth Rehabilitations combine esthetics with the science of restorative dentistry to improve the health, function, and beauty of the mouth.

Who Requires a Full Mouth Rehabilitation?


There are a number of people who have dental problems throughout their mouths that must be treated comprehensively with a vision of a final result that improves both function and esthetics. These patients may exhibit multiple missing teeth, numerous teeth with large fillings that are failing or exhibiting decay, cracked or broken teeth, or badly worn teeth due to bruxism (teeth grinding) or other habits.

There is also a group of patients who were born with conditions such as Ectodermal Dysplasia, Ameliogenesis, or Dentinogenisis Imperfecta that will need extensive restoration of their teeth. These patients may be candidates for a full mouth Rehabilitation.



Full Mouth Rehabilitation

Treatment Options for a Full Reconstruction

In general, any dental treatment that affects all teeth in the mouth is called full mouth reconstruction or full mouth rehabilitation. Some treatment options for oral cancer may require the patient to undergo a unique type of full mouth reconstruction that not only involves the replacement of missing teeth, but potentially restoration of missing structures of the oral cavity.

The treatments can include onlays, crowns, bridges, veneers, dental implants, and/or dentures that will essentially provide not only a "'smile makeover", but improved chewing efficiency for the patient. In some patients, other specialties will orthodontics may also be employed to facilitate the best possible outcome.

Full Mouth Rehabilitation

   Shine Dental Care and Implant Center

contact info

   Bopal: 6, First Floor, Marutinandan Complex, Nr. Govt. Tubewell Road, Opp. to HP Petrol Pump, Bopal, Ahmedabad.

   South Bopal: 210, 2nd Floor, The Corner Block TCB , Opp. To Kavisha Celebration Center, Gala Gym Khana Road (South Bopal Main Road).
+91 96387 77546 (Rahi Panchal)
  +91 98259 85667 (Dhaval Panchal)
Testimonials

"Deciding where to have your dental treatment can be difficult. That's why we want to make it easier for you by providing testimonials from our very own patients. Hear about their experiences at Shine Dental Care and Implant Center, and rest assured in your decision to choose our team for your dental health. "
Work hours

Monday to Saturday
   09:30 am - 01:00 pm
   05:00 pm - 09:00 pm