Cosmetic Dentistry (Veneers)

Dental veneers (sometimes called porcelain veneers or dental porcelain laminates) are wafer-thin, custom-made shells of tooth-colored materials designed to cover the front surface of teeth to improve your appearance. These shells are bonded to the front of the teeth changing their color, shape, size, or length.

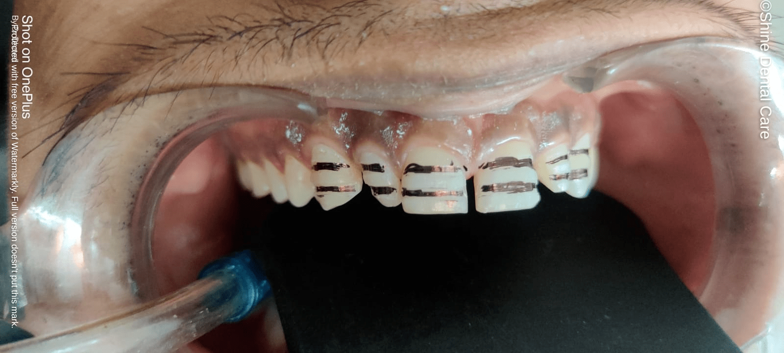
case 1 Types of Dental Veneers

Dental veneers can be made from porcelain or from resin composite materials. Porcelain veneers resist stains better than resin veneers. They also better mimic the light-reflecting properties of natural teeth. You will need to discuss the best choice of veneer material for you with your dentist.

What Types of Problems Do Dental Veneers Fix?

Veneers are routinely used to fix:

  • Teeth that are discolored because of:
    • root canal treatment
    • stains from tetracycline or other drugs
    • excessive fluoride
    • large resin fillings
    • other causes
  • Teeth that are worn down
  • Teeth that are chipped or broken
  • Teeth that are misaligned, uneven, or irregularly shaped (for example, have craters or bulges in them)
  • Teeth with gaps between them (to close the space between these teeth)
Dental Veneer Procedure

Getting a dental veneer usually requires three trips to the dentist – one for a consultation and two to make and apply the veneers. One tooth or many teeth can undergo the veneering process at the same time.




Diagnosis and treatment planning

Dental Veneers

You will tell your dentist the result that you are trying to achieve. During this appointment, your dentist will examine your teeth to make sure dental veneers are right for you and discuss the procedure and some of its limits. They may take X-rays and possibly make impressions of your mouth and teeth.

Preparation

To prepare a tooth for a veneer, your dentist will reshape the tooth surface, which is an amount nearly equal to the thickness of the veneer to be added to the tooth surface. You and your dentist will decide whether they numb the area before trimming off the enamel. Next, your dentist will make a model, or impression, of your tooth. This model is sent out to a dental laboratory, which makes your veneer. It usually takes 2-4 weeks for the veneers to come back from the laboratory. Temporary dental veneers can be used in the meantime.

Bonding

Dental Veneers

  • They provide a natural tooth appearance.
  • Gums tolerates porcelain well.
  • Porcelain veneers are stain resistant.
  • A color can be selected to make dark teeth appear whiter.
  • They generally don't require as much shaping as crowns do, yet they are stronger and look better.

   Shine Dental Care and Implant Center

contact info

   Bopal: 6, First Floor, Marutinandan Complex, Nr. Govt. Tubewell Road, Opp. to HP Petrol Pump, Bopal, Ahmedabad.

   South Bopal: 210, 2nd Floor, The Corner Block TCB , Opp. To Kavisha Celebration Center, Gala Gym Khana Road (South Bopal Main Road).
+91 96387 77546 (Rahi Panchal)
  +91 98259 85667 (Dhaval Panchal)
Testimonials

"Deciding where to have your dental treatment can be difficult. That's why we want to make it easier for you by providing testimonials from our very own patients. Hear about their experiences at Shine Dental Care and Implant Center, and rest assured in your decision to choose our team for your dental health. "
Work hours

Monday to Saturday
   09:30 am - 01:00 pm
   05:00 pm - 09:00 pm